Join us Friday, December 2nd at 3:00 PM in McDonnell Sciences, Room 423. Cell Bio happy hour to follow!
MCB/CBP Work-in-Progress (WIP) Series: Kaylee O’Donnell
Join us Friday, December 2nd at 3:00 PM in McDonnell Sciences, Room 423. Cell Bio happy hour to follow!
Thursday, December 1, 2022 | 1:00 PM | McDonnell Sciences Building, Room 423
Tuesday, November 29, 2022 | 1:00 PM | McDonnell Sciences Building, Room 423
Manicki M, Aydin H, Abriata LA, Overmyer KA, Guerra RM, Coon JJ, Dal Peraro M, Frost A, and Pagliarini DJ
November 11, 2022 Cell Biology recently convened to honor the career Dr. Robert (Bob) Mecham with a Scientific Symposium on Extracellular Matrix with presentations from Dr. Beth Kozel (NIH), Dr. Pyong Park (Harvard Medical School), Dr. William Parks (Cedars-Sinai Medical Center), Dr. Jessica Wagenseil (WUSM), and a keynote presentation from Dr. Francesco Ramirez (Icahn School […]
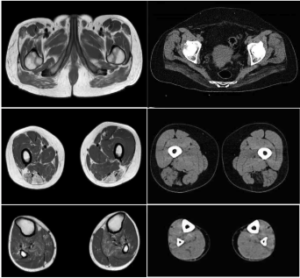
Loss of function variants in DNAJB4 cause a myopathy with early respiratory failure to be published in Acta Neuropathologica
Join us for Happy Hour hosted by the True Lab! Friday, November 18th at 4:00 PM in the fourth floor South Building break room!
Join us Friday, November 18th at 3:00 PM in McDonnell Sciences, Room 423. Cell Bio happy hour to follow!
Tuesday, November 15, 2022 | 1:00 PM | McDonnell Sciences Building, Room 423
Friday, November 11th | 1:00 – 4:45 PM | Moore Auditorium, North Bldg., 1st Floor